Alle Seminare

Prof. Dr. Bernd Klaiber: "Frontzahnrestauration mit Komposit – Workshop" Kurs: 4994

Prof. Dr. Bernd Klaiber:

Titel: Frontzahnrestaurationen aus Komposit - Workshop

Kurs: 4994
Referent: Prof. Dr. Bernd Klaiber, Würzburg
Punkte nach BZÄK / DGZMK Richtlinien: 18

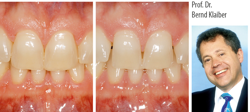
Grundregeln der Ästhetik und ihre Realisation mit Kompositen
Schöne Zähne als wichtige Voraussetzung für ein attraktives Lächeln haben in unserer Gesellschaft einen hohen Stellenwert. Ästhetische Korrekturen im Frontzahnbereich werden vornehmlich mit laborgefertigten restaurationen oder kieferorthopädischen Maßnahmen durchgeführt. Anstelle dieser aufwendigen Behandlungstechniken können häufi g auch mit weniger invasiven Maßnahmen Resultate erzielt werden, die von den Patienten sehr hoch eingeschätzt werden. Bei Beherrschung der wichtigsten Grundregeln zur dentalen Ästhetik können mit speziellen Kompositen ohne Einschaltung eines zahntechnischen Labors ansprechende Resultate erzielt werden, die einem Vergleich mit einer gelungenen laborgefertigten restauration standhalten.

Grundregeln der Ästhetik
- bindende und trennende Kräfte, Lachlinien, Proportionen, Symmetrie, Dunkelräume, Dominanz
- Zahnform, Bedeutung der Konturlinien bei der optischen täuschung, Mikromorphologie der Zahnoberfläche
- Zahnfarbe, Farbstimmung, Farbwirkung, Farbe bewusst zur optischen täuschung eingesetzt, Wechselwirkung unterschiedlich transluzenter Kompositmassen
- Farbkonzept nach Dr. Vanini

Direkte Restaurationstechnik
- Materialauswahl, Instrumente zur Formgebung und Ausarbeitung
- Farbschichtungstechnik
- adäquate Matrizentechnik
- Tipps und Tricks zur Gestaltung der Approximalflächen bei Form- und Stellungsänderungen
- Möglichkeiten zur Vortäuschung längerer, kürzerer, breiterer bzw. schmalerer Zähne
- Formerhaltende Ausarbeitung und Erstellen einer dem Restzahn
bzw. Nachbarzahn angepasste, natürlich erscheinende Oberfläche
- Nachträgliche Korrekturen
- Bleichen vitaler und wurzelkanalbehandelter Zähne

Klinische Anwendungsbeispiele
u.a. Ersatz fehlender Zahnhartsubstanz, Einsatz bei Hypoplasien, Missbildungen, Form- und Stellungsänderungen, Diastema-Korrekturen, teil- und Vollverblendung, Einsatz nach oder anstelle einer Kfo-Maßnahme, Einsatz in Zusammenhang mit überkronung von Nachbarzähnen, Formveränderung nach parodontaler rezession, optische Verjüngung.

Kursgeld
EUR 828,– inkl. Seminarverpflegung, Seminarunterlagen und sämtlichen Verbrauchsmaterialien

Kurszeiten
Freitag 12.00 – 20.00 Uhr
Samstag 9.00 – 17.00 Uhr

Kursort 
Düsseldorf, MARITIM Airport

Seminar-Details

Datum und Uhrzeit 02.10.2020 12:00 Uhr
Seminar-Ende 03.10.2020 17:00 Uhr
Seminarpreis €828,00
Referent/en Prof. Dr. Bernd Klaiber
Fortbildungspunkte 18 nach BZÄK/DGZMK Richtlinien
Veranstaltungsort Düsseldorf, MARITIM Hotel
IFG-Seminar-Kategorie Ästhetische Zahnheilkunde, Düsseldorf, Klaiber, Präsenz-Seminar

Dieses Seminar ist nicht mehr buchbar

Veranstaltungsort

April   2026
M D M D F S S
    1 2 3 4 5
6 7 8 9 10 11 12
13 14 15 16 17 18 19
20 21 22 23 24 25 26
27 28 29 30      

Kurse suchen

Kategorie
© 2026 IFG-Fortbildung. All Rights Reserved. Powered by Knut Ingwersen