Online-Seminar: Prof. Dr. Roland Weiger: Das Zahntrauma - Was sollte der Zahnarzt wissen und tun? in 5 Modulen.
Präsentations-Themen in 5 Modulen:
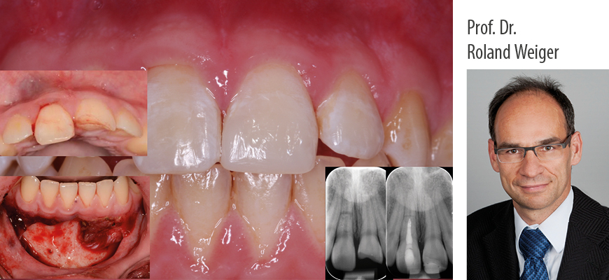
Kurzbeschreibung:
Das Zahntrauma kommt nicht nur bei jungen, sondern auch bei älteren Patienten immer häufiger vor. Mit abgesicherten Therapiekonzepten und einem strukturierten Vorgehen lassen sich sowohl einfachere als auch komplexere Situationen nach dentalem Trauma beherrschen. Das gilt für die Notfallbehandlung und die Nachsorge als Voraussetzung für den langfristigen Erhalt der zumeist betroffenen Frontzähne.
In fünf Modulen werden Ihnen zu den relevanten Formen des Zahntraumas (Zahnfrakturen u. Dislokationsverletzungen) das aktuelle Wissen, die Vorgehensweisen und praxisnahe klinische Tipps für die Umsetzung vermittelt.
Dies erfolgt anhand vieler klinischer Beispiele.
Kurzvita Prof. Dr. Roland Weiger, Universitäres Zentrum für Zahnmedizin Basel (UZB)
Prof. Dr. Roland Weiger erwarb das zahnmedizinische Staatsexamen 1985 an der Universität Tübingen. In der Abteilung für Zahnerhaltung promovierte er 1987 und qualifizierte sich wissenschaftlich. Bis 2002 arbeitete er dort, zuletzt als Professor für Endodontologie (C3). 2002 nahm er den Ruf auf den Lehrstuhl für Parodontologie, Endodontologie und Kariologie der Universität Basel (CH) an. Neben seiner Funktion als Klinikdirektor ist er Mitglied der Geschäftsleitung des seit 2016 bestehenden Universitären Zentrums für Zahnmedizin Basel UZB.
Seine Forschungstätigkeit befasst sich mit verschiedenen Teilgebieten der Zahnerhaltung insbesondere der Endodontologie. Der klinische Schwerpunkt und die Vortrags-/Fortbildungstätigkeit konzentrieren sich auf die Endodontologie und die dentale Traumatologie. Wissen und klinische Erfahrung manifestieren sich in zahlreichen Kursen, die er in den letzten 25 Jahren gehalten hat.
Seminarpreis inkl. aller Module und Prüfungsfragen mit Zertifikat.
| Datum und Uhrzeit | 01.10.2025 10:00 Uhr |
| Seminar-Ende | 31.12.2026 18:00 Uhr |
| Anmeldeschluss | 21.12.2026 18:00 Uhr |
| Seminarpreis | €179 |
| Referent/en | Prof. Dr. Roland Weiger |
| Fortbildungspunkte | 7 nach BZÄK/DGZMK Richtlinien |
| Veranstaltungsort | *IFG-Online-Seminar |
| IFG-Seminar-Kategorie | Online-Seminar, Implantologie / PA / Chirurgie |
| Auswahl | Preis |
|---|---|
| Zahnärztinnen/Zahnärzte | €169,00 |
| Team (2 Personen) | €289,00 |
| Assistentinnen/Assistenten (nur Ausbildungsassistenten/Innen) | €119,00 |
| Angestellte ZÄ/ZA (gilt nicht für Geschäftsführer von MVZs und GmbHs) | €119,00 |
| Universitäts-Mitarbeitende | €108,00 |
| Studenten (gilt nur nur für Studenten mit nicht abgeschlossener Approbation) | €59,00 |
IFG - Internationale Fortbildungsgesellschaft mbH • Wohldstraße 22 • 23669 Timmendorfer Strand
Telefon (04503) 779933
Fax (04503) 779944
E-Mail info(at)ifg-hl.de